30多年前
四川成都一大爷酒后与人打赌
竟然吞了一只打火机
30年后竟然还在胃里
医生取出后惊呆了...
“大概是1991年或1992年的夏天,我和几个朋友一起喝酒……”大爷回忆,当时桌上有两个设计精美的打火机,众人越聊越兴奋,竟打起赌来,要把它吞下去。“我说你要是敢吞,我就敢吞。”在酒精作用下,两人真的将打火机塞进嘴里。大爷描述道:“一下就吞进去了。”酒醒之后,他并未把这件事放在心上,以为打火机会自然排出。
30多年来
他的身体未出现明显不适
偶有腹痛,服药也能缓解
直到一个月前
他开始感到腹部持续胀痛
这才去医院做了胃镜检查
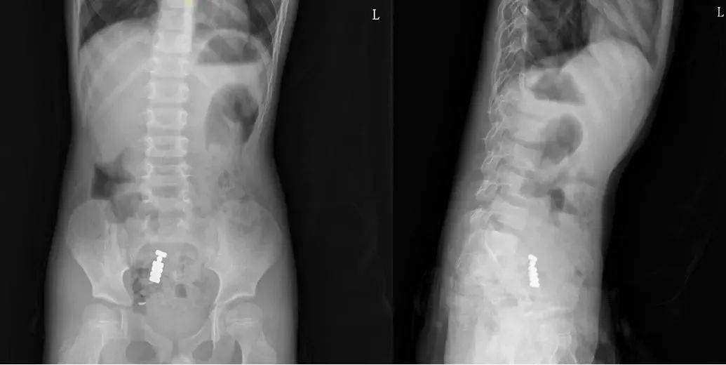
医生在他的胃部
意外发现一个黑色长方体异物
基于异物形态,医生初步判断可能是打火机。大爷这才回忆起自己三十多年前的轻狂往事,惊讶道:“这个打火机竟未排出啊!”
后来,医生团队通过胃镜将一只安全套送入胃腔,缓缓将整个打火机套入其中,最后通过异物钳将其缓慢拖拽出口腔,整个过程约20分钟。取出的打火机长约7厘米,外层覆盖黑色腐物。

令医生惊讶的是,尽管在胃内停留三十余年,打火机结构仍基本完整,机内居然还有残留液体。

为什么打火机被胃酸泡了三十多年
却未损坏甚至分解?
为什么没有自然排出体外?
首先,打火机在胃中滞留三十多年未被胃酸分解,主要与其材质和胃内环境有关。
其次,打火机没有排出体外,是由于其尺寸、形状和胃的生理结构所致。胃部出口处名为幽门口,其直径较小,打火机作为一个长达7cm的长方体异物,难以通过。
医生提醒,切勿将打火机等任何异物吞入腹中,尤其打火机内含易燃易爆的丁烷气体,吞食后可能在胃中泄漏,与胃酸接触产生化学反应,导致胃黏膜腐蚀、糜烂、穿孔,甚至危及生命。
吞食异物的事件时常发生
尤其多发于儿童
小坊曾经多次报道过
沪上一名7岁自闭症男孩
因误吞多枚磁力珠导致肠穿孔
被送往上海交通大学医学院
附属上海儿童医学中心救治
险些酿成生命危险
(戳看此前报道⬇️)

2025年4月
苏州11岁男孩家中玩耍时
将一枚重100克的金条吞入腹中
家属将其紧急送医
(戳看此前报道⬇️)

福建10岁女孩小可(化名)
反复腹痛了3年
竟是因为她偷偷吃自己的头发
小可的胃里塞满了成团的头发
几乎占了胃容量的四分之三
(戳看此前报道⬇️)

此外
吞食硬币、纽扣电池
等异物的事情也比比皆是...
异物卡顿在消化道的不同部位
会导致各种不同的表现
异物在胃内或者肠道内时,大多没有明显的不适表现。
而当异物卡在口咽部、食管内时,患者不适症状较明显,可表现为咽喉疼痛、口水增多,甚至带血,有异物阻塞感、吞咽困难,并可出现恶心、呕吐、咳嗽、气促等症状。

年幼的儿童、精神疾病患者发生消化道异物时,往往不能详细描述不适症状,通过观察体征,可发现其拒食、流口水、唾液带血、呕吐、呼吸困难、气喘、出现过激的情绪动作等异常表现。
- 如果身边有与吞入异物相同的物体,建议一起带至医院供医生参考。
- 如果患者出现手捂住咽喉、呼吸微弱、面部青紫、不能言语等表现,可能是异物从消化道掉至气道,应采用海姆立克法自行紧急处理。


需注意,如果患者能正常呼吸,即使表现得比较难受,也不必使用海姆立克法,以免导致进一步的损伤。
如果患者无明显痛苦症状,且异物卡在嘴里能看到的地方,可以立刻用手取出来。如果异物卡在看不见的地方,不要用手抠取异物,以免越捅越深,此时应针对不同类型的异物,采取不同的处理方法。
如无法自行拿出
一定要及时就医
另外
请务必远离此类危险行为
切勿因好奇或冲动尝试
来源:新闻坊、如有侵权请联系删除