广谈大湾网

广谈大湾网 首页 资讯 湾区资讯 查看内容

广东一高三学生突然昏迷不醒,父母慌了!原来是…

2021-2-25 09:11| 发布者: 东京樱花雪

摘要: 高三学生小李学习中突然昏迷不醒,四肢抽搐,口吐白沫,双眼上翻,原来是左颞叶海绵状血管瘤引起的癫痫的发作。 近日,南方医科大学中西医结合医院神经外科团队为她彻底切除海绵状血管瘤及与异常脑电波形有关的病变 ...

高三学生小李学习中

突然昏迷不醒,

四肢抽搐,口吐白沫,双眼上翻,

原来是左颞叶海绵状血管瘤

引起的癫痫的发作。



      近日,南方医科大学中西医结合医院神经外科团队为她彻底切除海绵状血管瘤及与异常脑电波形有关的病变。目前,小李已返回学校,没有再次发生癫痫。




出院前的小李


高三学生得怪病:突然昏迷不醒


      佛山的女孩小李是一名高三学生,成绩优秀,正踌躇满志准备高考,然而2020年11月的一天,小李在学习时突然昏迷不醒,四肢抽搐,牙关紧闭,口吐白沫,双眼上翻,10分钟后才恢复意识,清醒后,小李自己都不知道发生了什么。


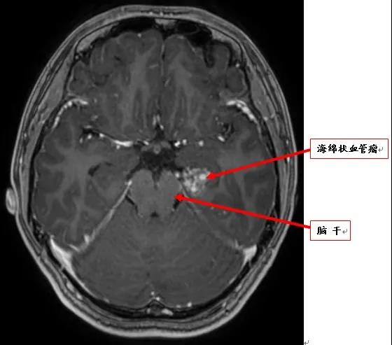
      小李的父母慌了神,平时健健康康的孩子,怎么突然得了这种怪病?在当地医院进行颅脑核磁共振(MRI)检查发现左颞叶、脑干旁有一病变,考虑海绵状血管瘤。因部位比较特殊,手术难度大,风险高,当地医生建议口服药物控制病情。


术前MRI显示脑干有海绵状血管瘤


罪魁祸首被切除:术后一周康复出院


      小李母亲几经辗转来到南方医科大学中西医结合医院神经外科寻求进一步治疗。入院后脑电图检查显示:左颞叶存在癫痫波形。神经外科主任陈陆馗认为,小李发病时的表现是癫痫的典型症状,而癫痫的罪魁祸首是左颞叶海绵状血管瘤


      癫痫常见于海绵状血管瘤患者,手术切除海绵状血管瘤非常有必要。由于小李今年要参加高考,母亲对于是否做手术犹豫不决,担心开颅手术会影响考试,要求暂时药物治疗,高考结束后再手术。


      陈陆馗解释,海绵状血管瘤容易破裂出血,而小李颅内的海绵状血管瘤位于脑干旁,一旦出血,则血肿直接压迫脑干,会危及生命,必须尽快手术切除,以免贻误病情。完善术前准备后,2020年12月11日,在术中电生理监测下,陈陆馗为小李行海绵状血管瘤切除术,彻底切除海绵状血管瘤及与异常脑电波形有关的病变。


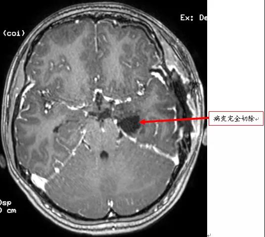
术后MRI显示病变完全切除


      术后三天,小李可以下床活动,一周后康复出院。目前,小李已返回学校,随访一个多月,没有再次发生癫痫。



专家提醒:癫痫患者三注意


      癫痫是一种慢性疾病,常顽固反复发作,反复的癫痫发作对患者的智力、心理及生理都会带来严重的影响。


陈陆馗提醒,癫痫患者需要注意以下事项:


      一,规律服药,不能骤减或者停服药物,以免引起癫痫持续发作;


      二,保证充足睡眠,避免疲劳、紧张等不良因素的刺激;


      三,最好不要开车、游泳、登高、夜间独自外出等,如有发作先兆的时候应立即卧倒,避免跌伤。



来源于信息时报,转载目的在于传递更多信息,并不代表本网站赞同其观点和对其真实性负责。如涉及作品内容、版权和其它问题,请在后台联系微信,我们将在第一时间删除内容!


鲜花

握手

雷人

路过

鸡蛋
  • 发布新帖

  • QQ客服

  • 微信公众号

  • 移动端

  • 返回顶部