广谈大湾网

广谈大湾网 首页 资讯 湾区资讯 查看内容

广州29岁男子连吃两天猪蹄牛杂,被送进ICU!医生分析原因不简单 ... ...

2021-2-23 09:14| 发布者: 初夏听花开

摘要: 每逢佳节,走亲访友,胡吃海喝,难免有“每逢佳节胖三斤”的苦恼。除了体重,暴饮暴食还可能会引起急性胰腺炎。中山大学附属第六医院消化内科春节前就收治了一位这样的小伙。大餐之后,抽血竟是粉红色 临近春节, ...

每逢佳节,

走亲访友,

胡吃海喝,

难免有“每逢佳节胖三斤”的苦恼。


除了体重,

暴饮暴食还可能会引起急性胰腺炎。



中山大学附属第六医院消化内科

春节前就收治了一位这样的小伙。


大餐之后,抽血竟是粉红色


      临近春节,来自广州29岁的小于得闲后与朋友聚餐,因朋友热情款待,看着满桌子的好酒好菜,尤其是猪蹄牛杂等“最爱”,禁不住诱惑的小于,放开肚子大快朵颐了两天。


      没想到第二天,小于便出现了剧烈腹痛,并向背部放射,同时出现恶心、呕吐。初始,小于以为同往常一样,只是急性胃肠炎发作,随着疼痛持续加重,服用抗生素治疗后疼痛仍未缓解。


      小于因突发剧烈腹痛、呕吐被紧急送至中山大学附属第六医院急诊。当时小于腹痛难忍、大汗淋漓、面色苍白、呼吸急促,急诊杨桂萍医生查看后紧急进行了血液化验,血液在试管中可明显看到分层,上层悬浮着油脂样物质,竟然是乳糜血!


小于经离心后的血清呈“脂浊”。


小于血液置换过程中刚抽出的血为粉红色。


      检验科的医师通过机器质检,结合腹部CT,确定小于得了急性坏死性胰腺炎和2型糖尿病伴酮症酸中毒。


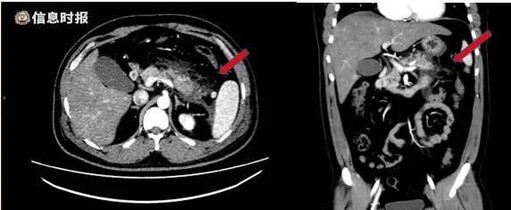
腹部增强CT提示胰腺尾部肿胀,胰腺周围脂肪间隙模糊,多发斑片状、条索影。红色箭头示胰腺脂肪间隙。


舌尖上的的美食,胰腺的砒


      小于当即被收入中山六院消化内科一区。身高168cm的小于,体重竟达170斤!


      他的血液检验中也多项指标异常,甘油三高达44.49mmol/l,正常人近25倍胆固醇是正常人的近3倍,血糖维持在11mmol/l以上,并多次高于15mmol/l,不仅如此,小于还合并了多种电解质紊乱,精神萎靡,腹部仍有隐痛。


      病情危急,消化内科郅敏主任医师立即联系ICU重症医学科杨春华主任医师,在对小于会诊后,建议进行床旁血液置换进行降脂治疗。在ICU进行了血液置换治疗中,肉眼可看到小于的白色脂肪样的血浆在大约4小时的治疗后恢复了正常的黄色透明样,血脂得到了控制,乳糜血也转化成了正常的血液,查血脂甘油三脂降低至3.99mmol/l。同时,在消化内科病房也进行了充分液体扩容、积极降糖以及抑制胰腺分泌及营养支持治疗约3天后,小于精神恢复,腹痛缓解,血糖也控制在了达标范围。


日前,小于的身体已逐渐恢复并出院。
让小于和家人不解的是,
平时好好的,
为什么突然就生了这么严重的病?
难道一顿红烧猪蹄、牛杂的威力
真的那么大吗?

      原来,小于本身就属于肥胖(BMI=30.12),由于平时工作忙碌,饮食不规律,爱吃油腻的食物,不喜运动,这些不良生活习惯都是急性胰腺炎的潜在高危因素,而此次小于进食的红烧猪蹄和牛杂,因为过分油腻直接导致了急性胰腺炎的爆发。

消化内科医生眼中的“猛虎”——急性胰腺炎


      消化内科郅敏主任医师介绍道,胰腺虽然是身体里一个小小的器官,却是人体第二大消化腺体。急性胰腺炎(Acute Pancreatitis,AP)是消化系统的危重疾病,发病率逐年升高。急性胰腺炎总体病死率为5%,重症急性胰腺炎(Severe Acute Pancreatitis,SAP)病死率仍较高,也是消化内科医生眼中最凶险的疾病之一。


      “近几年每到节假日都会收治急性胰腺炎相关的病人,而且多为中青年群体,年轻人总觉得自己底子好,多吃一点没关系。医院曾收过一个两年春节都因吃牛油火锅入院的小伙。”郅敏表示,急性胰腺炎预防大于治疗,防范所需的代价远远小于治疗。节假日,热情好客固然是好,心情激动也能理解,但需要适当饮食,防范此种节日病。


郅敏再次提醒广大市民:

       患有高脂血症、胆囊结石、经常大量饮酒的人群是急性胰腺炎的高危人群,而暴饮暴食、大量进食油腻食物、大量饮酒是导致胰腺炎发作的主要诱因。


      因此,在佳节之际,市民还是要注意饮食节律,控制饮酒,合理锻炼,切勿暴饮暴食、胡吃海喝、过食油腻,尤其是不能一次性吃大量高蛋白高脂食物,警惕各类消化系统疾病尤其是胰腺炎的发生。





来源于信息时报,转载目的在于传递更多信息,并不代表本网站赞同其观点和对其真实性负责。如涉及作品内容、版权和其它问题,请在后台联系微信,我们将在第一时间删除内容!


鲜花

握手

雷人

路过

鸡蛋
  • 发布新帖

  • QQ客服

  • 微信公众号

  • 移动端

  • 返回顶部