广谈大湾网

广谈大湾网 首页 资讯 湾区资讯 查看内容

平时爱熬夜,深圳20岁男子突发胸痛、呼吸困难!这坏习惯快改 ...

2021-1-19 09:20| 发布者: 流水指年

摘要: 小伙伴们早上好~问大家一个问题昨晚大家几点睡的?晚上睡不着,早上起不来“今天我要早睡”成了年轻人说过的最多的谎话对于当代人而言“熬夜”真的是太正常了但大家可都得“悠着点儿”~深圳一20岁小伙经常熬夜埋下了 ...

小伙伴们早上好~

问大家一个问题

昨晚大家几点睡的?



晚上睡不着,早上起不来

“今天我要早睡”

成了年轻人说过的最多的谎话

对于当代人而言

“熬夜”真的是太正常了

但大家可都得“悠着点儿”~


深圳一20岁小伙经常熬夜

埋下了健康隐患


平时经常熬夜

深圳20岁小伙肺部长出“气囊”


深圳一20岁男子平日太忙经常熬夜,加上长期饮食不规律,最近感觉身体不适。“没有进行大运动量的活动,却经常出现胸闷、气促,偶尔还会咳嗽。”


1月6日晚上,男子突发胸痛、胸闷,胸口像被压着重重的秤砣,持续了2个小时。


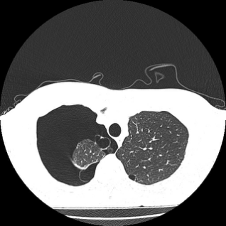
随后,男子被转入龙岗区人民医院急诊科,再转入了心胸外科就诊,做了胸部CT后发现——


双肺可见多发肺大疱

右肺破裂引起气胸

右肺组织被压缩了75%



“肺大疱?这是何物?”

这病严重吗?为何年纪轻轻的小伙

会突然得了“肺大疱”?

咱先来了解这“肺大疱”


分为先天性、后天性

后天性男性的发病率高于女性


肺,是人体的呼吸器官,重要性不言而喻。


正常人每天约有1万升的气体进出呼吸道,吸入氧气,排出二氧化碳。“通道”一旦堵塞,后果不堪设想,肺大疱就是其中的一种情形。


肺大疱:


小支气管由于各种原因形成类似“单向通气阀门”构造,导致空气进入肺泡后不易排出。肺泡内气压升高而破裂,相互融合,在肺脏组织内形成直径大于1厘米的气囊。


肺大疱可分为

先天性肺大疱 和 后天性肺气疱


流行病学研究显示,先天性肺大疱多见于青少年,特别是瘦高体型或扁平胸者发病率较高,应当特别注意;


而后天性肺大疱则多见于患有细支气管的炎性病变,如肺炎、肺结核或肺气肿等疾病的中老年人,且男性的发病率明显高于女性。


图片来源:IC photo


肺大疱造成的危害不可小觑


患者可能出现自发性胸闷、血气胸,以及继发性感染等严重并发症。更可怕的是,它是一种不可逆的肺部病变,仅靠药物不能治。


当患者出现明显呼吸困难或感染、气胸反复发作时,需要尽快手术治疗,才能以绝后患。


再说回小伙子的身体情况

医生表示,再不实施手术

情况将十分危险


医生实施手术,男子痊愈

为避免肺大疱破裂加重自发性气胸、血气胸等并发症,心胸外科徐继庆主任团队紧急讨论后,决定实施ERAS快速康复单孔胸腔镜手术。


顾名思义,它是只开1个小切口的微创手术,仅用3小时,便完成了手术。目前,绝大多数肺大疱手术均可以在电视胸腔镜下完成,修复快,大部分患者术后症状明显改善


术后4小时便可自行下床自由活动


好在经过手术,化险为夷

但看完小伙子的故事

各位还敢熬夜吗?


此前

深圳也有不少年轻人

喜欢熬夜,结果身体出现毛病


经常通宵加班

深圳一25岁女子查出肝癌!


2020年,25岁的小芬(化名)到医院体检时,被检查出肝右前叶有肿块。随后,她再次到医院进行复查,结果提示肿块直径有5厘米,有兵乓球那么大,初步确诊为肝癌和肝硬化。


医生表示,小芬的肝癌与她长期患慢性乙肝有很大的关系,加上她最近半年经常熬夜加班,这种不健康的生活方式成为慢性乙肝发展为肝癌的“催化剂”。


连续熬夜十多天

深圳一女子得了“病毒性肺炎”


2019年,连续十多天的熬夜让阿雯整个人状态都不太对劲,于是前往医院就诊,医生怀疑她属于病毒性肺炎。


在检查的路上,阿雯突然出现胸闷气急的症状,呼吸越来越重,意识也逐渐模糊。在气管插管过程中,阿雯的口中涌出了很多白沫,出现了呼吸衰竭。经过医生以及ECMO紧急抢救后,阿雯终于逐渐恢复。


爱惜自己的生命,别再熬夜~

答应小编,今晚就早睡

别再让这个flag倒下!





来源:深圳市龙岗区人民医院


鲜花

握手

雷人

路过

鸡蛋
  • 发布新帖

  • QQ客服

  • 微信公众号

  • 移动端

  • 返回顶部