广谈大湾网

广谈大湾网 首页 资讯 国内外资讯 查看内容

同一天,两位38岁宝爸突发心梗!其中一人仅打了10分钟羽毛球……医生提醒→ ... ...

2026-3-26 13:44| 发布者: 如风

摘要: 两位38岁的宝爸同一天因为急性心梗被送进医院且都发生在运动后:一个陪娃打了10分钟羽毛球一个陪娃爬了次山都说运动会使人健康这到底是怎么回事?01打了10分钟羽毛球,心脏就受不了“我都瘦了6公斤了,怎么还是没逃 ...



两位38岁的宝爸

同一天因为急性心梗

被送进医院

且都发生在运动后:

一个陪娃打了10分钟羽毛球

一个陪娃爬了次山

都说运动会使人健康

这到底是怎么回事?



01
打了10分钟羽毛球,心脏就受不了


“我都瘦了6公斤了,怎么还是没逃过心梗?”


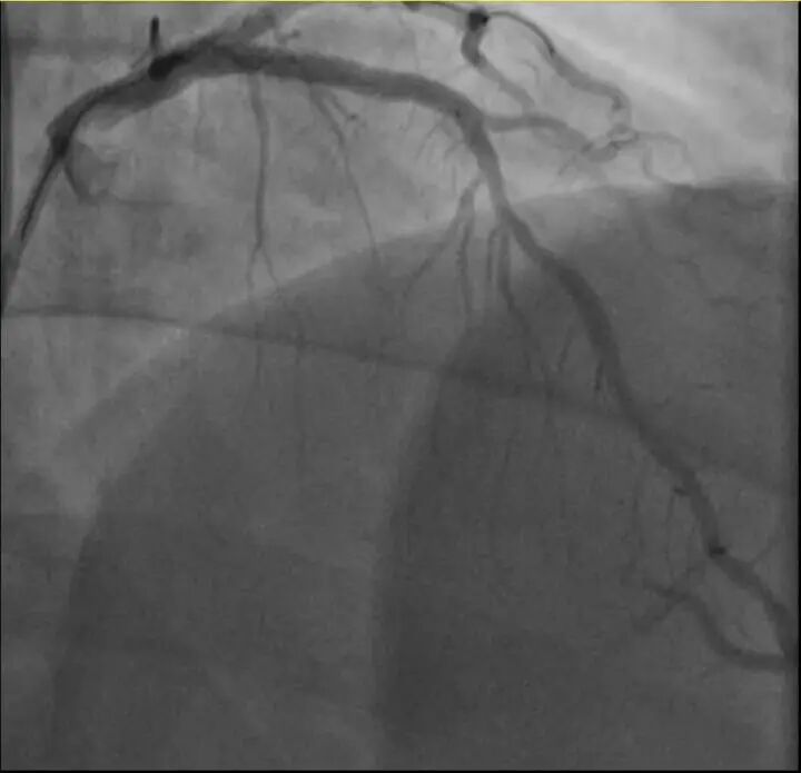
孙先生(化名)身高173厘米,体重约90公斤,是一位羽毛球教练。一年前,他因胸闷就诊时被查出心脏右冠中段、远端钙化斑块,以及心脏三支主要血管之一前降支中段60%狭窄。当时考虑到没有三高的危险因素,孙先生也坚信自己可以通过运动恢复健康,因此拒绝了介入治疗,只接受药物治疗。


介入治疗前影像图。

孙先生花了一年时间

体重从原来的96公斤瘦到90公斤

但让他没想到的是

意外还是来了


近日,他带孩子去练习羽毛球,没想到上场挥拍仅10分钟左右,就因心前区剧烈绞痛被送进了急诊


浙江医院心血管内科的医生分析,剧烈运动导致这位患者心脏的不稳定斑块破裂,进而造成前降支近段次全闭塞。所幸送医及时,孙先生的身体险情被化解。


介入治疗后影像图。


02
爬了一次山,隔天就胸痛


“多亏了你们,我才能及时脱险。但我平时身体还不错,只有点高血糖,怎么会突然心梗呢?”


同一天

38岁的钱先生(化名)

也有类似遭遇


钱先生的血糖一直偏高,服药后控制不佳,但年轻的他并没有太上心。周末,他和孩子爬了一次山,隔天就因突发胸骨中段压榨性疼痛被送到了急诊,最后被证实也是心梗——心脏三支主要血管之一回旋支远段次全闭塞


医生介绍,钱先生来院时血糖12.79mmol/L(正常空腹值应该在3.9~6.1mmol/L),甘油三酯也超标。‌三高是导致动脉粥样硬化(包括心脏的冠状动脉)的主要危险因素‌,在冠状动脉粥样硬化早期,血管狭窄可能并不严重,仅当血管狭窄到一定程度时,在运动、情绪激动等情况下,心肌耗氧量增加,就可能造成心梗等急性心肌缺血事件。所幸及时治疗,钱先生转危为安。



如何预防剧烈运动诱发的心梗


这两位38岁宝爸突发心梗

都可能与剧烈运动后

心肌供血不足、

不稳定斑块破裂相关


那么

日常大家应该

如何预防剧烈运动

诱发的心梗

医生建议:


1.先做心血管风险筛查

(1)通过常规体检了解自身血压、血脂、血糖水平,排查是否存在冠心病等基础疾病。

(2)运动前评估心脏耐受度:缺乏规律运动者可做运动负荷试验,判断心脏对运动的适应能力,避免盲目挑战超出身体承受范围的运动。


2.科学规划运动方案

(1)遵循“循序渐进”原则:先从低强度运动(如快走、慢跑)开始,逐步增加运动量。

(2)做好运动前后准备:运动前花5~10分钟热身;运动后不要立刻停下,通过慢走、拉伸等方式平稳降心率。

(3)规避危险运动场景:避免在高温高湿、寒冷大风环境下长时间剧烈运动;熬夜、过度疲劳、饮酒、感冒后24小时内不进行高强度运动;运动中或运动后若出现不适,立即停止并休息。



胸闷、乏力、异常出汗需警惕


广州医科大学附属第二医院心血管重症专科副主任柴仁杰指出,多数急性心血管事件发生前,身体都会发出预警信号。若出现以下症状,大家应立即停下休息,并及时就医:


1.极度乏力:感觉异常疲劳,提不起精神,全身沉重。

2.典型胸痛:胸骨后出现压迫感、紧缩感(类似“被拉住”的感觉),疼痛可能放射至下颌、咽部、左肩背部甚至上腹部。

3.剧烈疼痛伴出汗:疼痛剧烈到难以忍受并伴有出冷汗,这是需要高度警惕的危重信号。


若出现上述症状,应立即停止活动并休息。如果随身备有硝酸甘油等急救药物,可舌下含服一粒,5分钟后若未缓解可再含服一粒;若症状持续不缓解,必须立即拨打120急救电话。



发生猝死的人群,越来越趋于年轻化


柴仁杰表示,如今发生猝死的人群越来越趋于年轻化。很多人认为猝死是“毫无征兆”的,但实际上,大多数发生意外的人并非“完全健康”,而是处于“亚健康”状态,且合并了多种危险因素“再加上长期熬夜、工作压力大、剧烈运动等诱因,就可能成为压垮心脏的最后一根稻草。”




守住三条“红线”,为心脏筑牢安全防线


面对高压工作与快节奏生活,该如何筑牢心脏的安全防线?柴仁杰给出三点建议:




1.守住生活方式的“红线”:保证充足睡眠,避免长期熬夜;学会情绪释放,通过适当运动、与朋友倾诉等方式缓解高压或焦虑;劳逸结合,避免“报复性”熬夜或“突击式”剧烈运动。


2.守住基础疾病治疗的“红线”:一旦发现有高血压、高血脂、糖尿病等基础疾病,且通过生活方式调整无法改善时,必须遵医嘱进行药物干预,将各项指标控制在正常范围内。千万不要忽视对基础疾病的治疗。


3.守住科学运动的“红线”:运动时应根据自身耐受能力量力而行。若在运动中感到胸闷、气短、胸痛或异常疲劳,应立即停止,切勿“硬撑”。对于有明确心血管狭窄等基础病的患者,应在规范治疗后,在医生指导下制定合理的运动方案。




来源:信息时报;如有侵权,请联系删除。








鲜花

握手

雷人

路过

鸡蛋
  • 发布新帖

  • QQ客服

  • 微信公众号

  • 移动端

  • 返回顶部