广谈大湾网

广谈大湾网 首页 资讯 国内外资讯 查看内容

注意 | 久咳不愈千万别大意,当心这种病

2026-3-24 11:11| 发布者: 如风

摘要: 咳嗽,在生活中很常见,通常情况下不会引起太多关注。但如果久咳不愈,则需考虑是否是由其他疾病引起的,如结核病。肺结核曾被称为“痨病”,2026年3月24日是世界防治结核病日,让我们一起了解这个历史上令人闻风丧 ...


咳嗽,在生活中很常见,通常情况下不会引起太多关注。但如果久咳不愈,则需考虑是否是由其他疾病引起的,如结核病。


肺结核曾被称为“痨病”,2026年3月24日是世界防治结核病日,让我们一起了解这个历史上令人闻风丧胆的“白色瘟疫”。




01.为肺结核?


肺结核(Tuberculosis,简称TB),是由结核分枝杆菌复合群感染引起的慢性呼吸道传染病。中国是全球30个结核病高负担国家之一,结核病患者数位列全球第3位。绝大多数人体吸入结核菌后表现为潜伏感染,当人体的免疫功能下降时,休眠的结核分枝杆菌会重新活跃、大量繁殖,最终导致结核病发作。


因此,肺结核易感人群首先为免疫系统功能低下人群如艾滋病患者、慢性病患者(糖尿病、恶性肿瘤等)、长期使用免疫抑制药、激素患者;其次为生活或工作于高风险环境人群,如密切接触者、特定职业暴露者(如从事结核病诊疗的医务人员、矿工等);再者为婴幼儿、老人及营养不良人群。


当肺结核患者咳嗽、打喷嚏或吐痰时,结核菌会通过空气传播。



02.典型病例解析


❗病例:沉默的共犯——慢阻肺合并肺结核


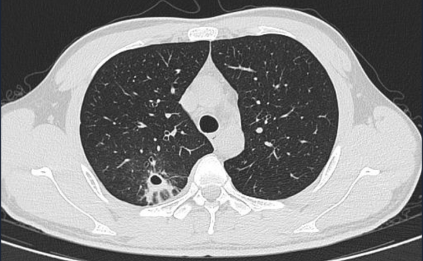
· 病例概况55岁男性,长期吸烟,慢阻肺4年余,长期吸入激素,因咳嗽咳痰气促加重入院治疗。查抗结核抗体IgG弱阳性,抗酸染色阴性,完善肺泡灌洗液病原体tNGS及结核抗体检测明确诊断肺结核。


△胸部CT可见双肺慢性炎症,双肺肺气肿,双上肺肺大疱


· 发病关联吸烟、慢性气道炎症、肺功能下降、气道结构破坏、长期使用激素,导致机体对结核防御能力减弱。


肺结核感染会进一步破坏肺组织,加重肺功能损伤,形成恶性循环。


因此慢阻肺和肺结核互为危险因素,谁为因果,需要详细结合病史及肺功能等进行鉴别



❗病例:过劳的代价——年轻人劳累诱发肺结核


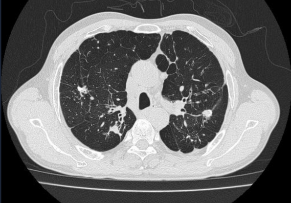
· 病例概况26岁青年男性,工作繁忙、压力大、熬夜,咳嗽1月余,多次外院抗细菌治疗,咳嗽咳痰症状较前无好转。入院查抗酸染色及抗结核抗体均为阴性,查胸部CT及支气管镜肺泡灌洗病原学tNGS明确诊断肺结核。


△胸部CT示右肺上叶后段炎症,拟脓肿形成


· 发病关联短期免疫力骤降,导致潜伏的结核菌激活,并引发强烈的变态反应。


· 临床特点起病急、进展快,多以发热、咳嗽、脓胸为首发,咳嗽超过2周,止咳效果不佳。



03.肺结核检验检查结果解读


怀疑自己得了肺结核,需要做什么检查?每项是查啥的?了解这几个概念,让你看病不迷茫。


✅ 影像学检查(侦察兵)


X线/CT看部位(上肺尖后段、下叶背段)、看形态(树芽征、卫星灶、空洞、钙化、纤维条索)。


活动性判断:需结合临床及影响判断。


  • “三多三少”特点:多灶性、多态性、多钙化性;少肿块性、少结节堆聚性、少明显强化。

  • 树芽征:提示病灶沿细支气管播散,是活动性肺结核常见征象之一。

  • 卫星灶:主病灶周围散在微小结节,常见于结核球及活动性结核,对鉴别诊断有帮助。

  • 空洞:结核空洞多为壁相对较光滑的类圆形、不规则形或裂隙样空洞,常沿引流支气管方向偏向肺门侧;典型情况下不一定有明显液平面。

  • 化与纤维条索:提示既往病变修复或陈旧性改变,但并不等于永远“彻底静止”,临床仍需结合症状和随访判断是否复燃。


✅ 病原学检查(金标准)


痰涂片抗酸染色:利用结核菌细胞特质,经染色后在显微镜下呈现红色杆状菌体。阳性代表有抗酸菌,但分不清是结核还是非结核分枝杆菌(NTM)。推荐用于资源有限地区的初始筛查。


结核分枝杆菌培养通过分离活菌,进行菌种鉴定及药敏试验,耐药评估的基石,确诊肺结核的金标准。但耗时长,不能用于即时决策。


分子生物学(GeneXpert基于实时PCR,自动检测结核菌DNA及利福平耐药基因。快速,约2小时出结果,不仅能确诊结核,还能直接看出是否对利福平(核心药)耐药。灵敏度高,但仍缺少对其他类型抗结核药物耐药性检测。


✅ 免疫学检查(辅助利器)


T-SPOT.TB / IGRA检测T细胞对TB特异性抗原的反应。无法区分潜伏结核感染与活动结核。


PPD皮试:皮内注射PPD,48-72小时测量硬结直径,用于判断是否存在结核菌感染。假阳性率高。



专家提醒:


  • 有症状别拖延:咳嗽、咳痰超2周,及时去做结核筛查,早查早放心;

  • 检查听医嘱:检查项目配合完成,医生才能准确判断;

  • 确诊别慌别乱停药:肺结核规范治疗效果很好,一定要按疗程用药,不要自己随便停药;

  • 科学看待不歧视:肺结核可防可治,正规治疗2周后传染性基本消失,不用过度恐慌和疏远。




来源:广州卫健委;如有侵权,请联系删除。


鲜花

握手

雷人

路过

鸡蛋
  • 发布新帖

  • QQ客服

  • 微信公众号

  • 移动端

  • 返回顶部