广谈大湾网

广谈大湾网 首页 资讯 湾区资讯 查看内容

深圳一家三口发热咳嗽!竟是因为广东人常吃的这道菜……

2020-9-17 10:20| 发布者: 初夏听花开

摘要: 马上又到吃蟹的时节吃货们的嘴早已饥渴难耐蟹的烹饪方式多样而“醉蟹”则是广东地区常见的一种腌制后的醉蟹蟹肉的鲜嫩裹挟着清甜的酒香芳香无腥,蟹味鲜美但是!就是这道“醉蟹”带来了严重的安全隐患吃货们请注意了 ...
马上又到吃蟹的时节
吃货们的嘴早已饥渴难耐


蟹的烹饪方式多样
而“醉蟹”则是广东地区常见的一种
腌制后的醉蟹
蟹肉的鲜嫩裹挟着清甜的酒香
芳香无腥,蟹味鲜美

但是!
就是这道“醉蟹”
带来了严重的安全隐患
吃货们请注意了↓


深圳一家三口食用醉蟹后发热咳嗽

原来是因为“肺吸虫病”


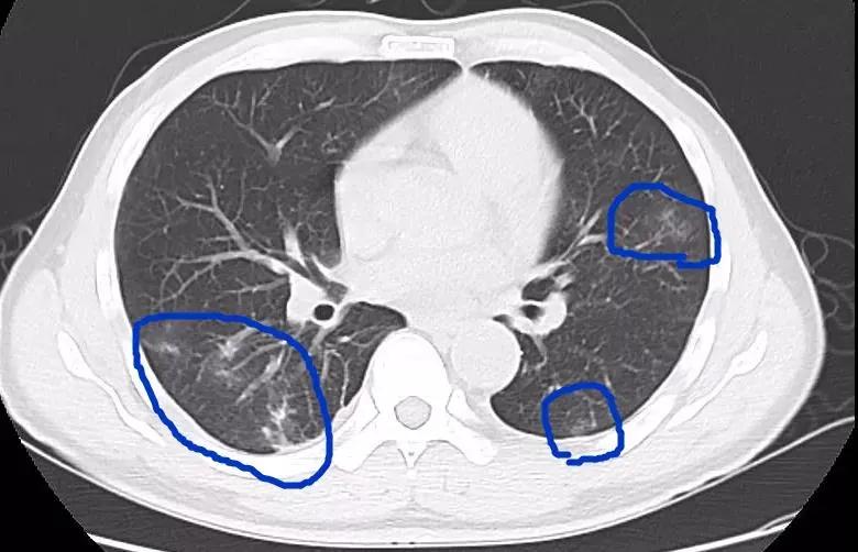
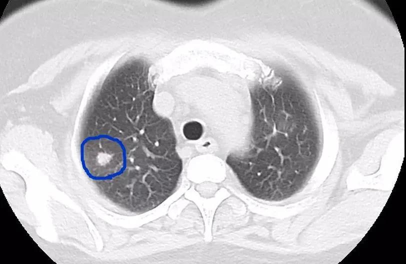
近日,深圳一家三口品尝了美味的醉蟹1个月后,先后出现了发热、腹痛、干咳等症状,他们到医院检查后,发现血常规中嗜酸性粒细胞明显升高,随即进行进一步的寄生虫抗体、CT等检查,最终三人均被确诊为“肺吸虫病”。


所幸经过治疗后,该一家三口已治愈出院,但如果不及时就医,寄生虫可能会侵犯大脑引起脑疝,严重者可能致死



什么是肺吸虫病?


肺吸虫病也叫并殖吸虫病,是由并殖吸虫寄生在人体脏器导致的疾病。


人被感染的主要途径是生吃或半生吃(如腌吃、醉吃或烤吃)被并殖吸虫囊蚴感染的淡水蟹、蝲蛄,或饮用被污染的生水。肺吸虫病在我国24个省区均有病例报道,主要分布在直接捕食淡水蟹的地区,夏秋季尤其高发,爱吃醉蟹的地区甚至四季均可发病。



并殖吸虫寄生在肺部,常会引起咳嗽、胸痛、咳铁锈色痰等;虫体在腹腔脏器间移行,引起腹痛、腹泻、恶心、呕吐等症状,侵犯肝脏可致肝功能异常;如果虫体侵入大脑,更会出现头痛、头晕、癫痫、感觉异常等;此外,也可表现为皮下结节或包块。


肺吸虫病的临床表现复杂多样,起病一般比较缓慢,潜伏期可短至几天,也可长达10年,多为3~6个月左右。



如何避免肺吸虫病?


烈酒、酱油、芥末等调味料腌制
其实都不能有效杀灭寄生虫
生吃海鲜后喝烈酒、白醋
无法杀灭寄生虫和细菌


正确的食用方式
是煮熟或蒸熟
使食物彻底熟透
这样才能将螃蟹里的寄生虫完全杀灭
如果吃过未煮熟透的淡水蟹等
出现不适症状
应及时到医院就诊
为了避免病从口入
建议不要生吃或食用未煮熟透的淡水蟹等


(蒸熟的蟹它不香吗??)



来源:深圳市人民医院等


鲜花

握手

雷人

路过

鸡蛋
  • 发布新帖

  • QQ客服

  • 微信公众号

  • 移动端

  • 返回顶部