广谈大湾网

广谈大湾网 首页 资讯 湾区资讯 查看内容

男童误吞磁铁,父母竟喂韭菜促排!结果……

2022-1-5 16:36| 发布者: 如风

摘要: 2021年12月31日,广州9岁男童误吞磁铁,父母却在网上搜偏方喂其韭菜企图促进排出,结果帮了倒忙……跨年夜,小男孩误吞磁铁“妈妈,我把磁铁吞到肚子里了,怎么办呀?”原来是小逸(化名)与家人一起观看跨年节目时 ...

2021年12月31日,

广州9岁男童误吞磁铁,

父母却在网上搜偏方

喂其韭菜企图促进排出,

结果帮了倒忙……



跨年夜,小男孩误吞磁铁


“妈妈,我把磁铁吞到肚子里了,怎么办呀?”原来是小逸(化名)与家人一起观看跨年节目时,趁父母没注意,抓了一颗橄榄状的磁铁放嘴里玩。看到入迷处,一不小心就把磁铁吞了下去。原本的跨年夜变成了一家人的不眠夜。


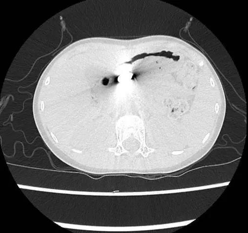
家长慌乱用手机搜索处理方法,甚至还按照网上偏方让小逸吃了一把韭菜企图促进排出。吃完后,小逸的腹胀不适反而加重。父母这才赶紧把小逸送到中山大学附属第六医院急诊就诊。经过CT检查,发现磁铁已进入胃部。急诊医生马上联系该院内镜外科,希望为患儿通过胃镜取出磁铁。


CT显示磁铁已进入胃部。


经过充分的术前准备,该院内镜外科副主任胡健聪对小逸进行镇静镇痛胃镜检查。胃镜下见到胃腔内残留大量韭菜残渣,唯独看不到磁铁。“一般而言,胃的排空时间为4-6个小时”。因此,胡健聪认为磁铁仍然在胃里面,只不过是被食物残渣覆盖。通过胃镜下的异物钳,分次把韭菜残渣完全取出,磁铁终于暴露在胃镜之下。


磁铁难夹,医生“包饺子”取出



胡健聪尝试用异物钳、圈套器等常规取异物器械,发现都没有办法把磁铁夹住取出。他立即联系手术室,借用手术室腹腔镜常用的无菌标本取出袋,在袋子上绑上丝线,再通过胃镜把标本袋带入胃腔,通过异物钳慢慢像“包饺子”一样把磁铁推入标本袋,最后牵拉丝线经过嘴巴终于把磁铁完整取出。


磁铁顺利进入标本袋。


取出异物后,小逸慢慢清醒过来,经过半小时休息,可以正常饮水、进食。


提醒:吞食异物家长切勿乱处理



橄榄状的磁铁


胡健聪提醒:“吞食磁铁类的玩具可以引起儿童非常严重医疗事件,去年年初该院曾经接诊因为吞食磁力珠引起胃肠道穿孔的2岁患儿,甚至需通过手术修补穿孔的肠管。磁铁类的玩具、纽扣电池等可能引起消化道穿孔,鱼刺、骨头等会损伤消化道黏膜甚至穿破消化道刺破周围组织血管,家长在发现儿童吞食异物后,应保持冷静,切勿听信偏方用‘吃韭菜’‘喝醋’等方式进行处理,应马上到医院就诊。同时父母也要看管好自己的孩子,不让孩子接触可能引起危险的玩具,同时也要培养孩子形成不乱吞食东西的好习惯。”


来源:广州日报(文、图/记者梁超仪 通讯员简文杨、戴希安),如有侵权请联系删除,本文仅代表作者观点,不代表广谈大湾网的观点立场。


鲜花

握手

雷人

路过

鸡蛋
  • 发布新帖

  • QQ客服

  • 微信公众号

  • 移动端

  • 返回顶部